日帰り大腸ポリープ切除とは
従来、大腸ポリープ切除は後出血などの偶発症リスクを考慮し、
1泊2日または2泊3日の入院が一般的でした。
しかし、医療技術や内視鏡設備の進歩により、多くの施設で日帰り切除が可能となっています。
当院でも原則として検査当日にポリープを切除し、その日のうちにご帰宅いただける体制を整えております。
これにより、患者様の身体的負担や入院費用を軽減し、日常生活への影響を最小限に抑えています。
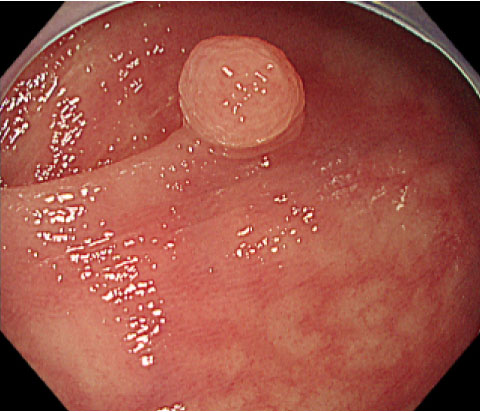
日帰り切除が対象となる大腸ポリープ
当院で日帰り切除が
可能なポリープ
- 大きさはおおむね15mm以下ただし、ポリープの形状などから切除後のリスクが高いと判断される場合には、15mm以下のポリープでも切除が出来ない場合があります。
- 形が整っており、粘膜表面に限局している
- 腺腫や過形成性ポリープなど、出血や穿孔リスクが低いと判断されるもの
入院設備のある医療機関での
治療を推奨するポリープ
- 大きなポリープ
- 粘膜下層に深く入り込んでいるもの
- 形が不整なポリープ
- がんが強く疑われるポリープ
当院では検査時に的確な診断を行い、
日帰り切除が安全に行えるかを
判断いたします。
安全な大腸ポリープ切除で大腸がん予防
-

熟練医による
安全な切除日帰り切除の安全性は医師の技術に大きく依存します。
当院の医師は豊富な症例経験を持ち、最新の内視鏡技術を駆使して安全で確実な切除を行っています。高性能機器と熟練した技術によって、ポリープの完全切除と合併症リスクの軽減を実現しています。 -

大腸がん予防としての
ポリープ切除大腸ポリープは将来的にがん化するリスクがあるため、早期発見・切除が大腸がん予防の最も効果的な方法の一つです。特に腺腫性ポリープはがん化リスクが高く、早期の切除が推奨されます。ポリープ切除により、がん化する可能性のある組織を取り除くことで、大腸がんの発症リスクを大幅に減らすことが可能です。当院では患者様の状態に応じた最適な治療を提案しています。
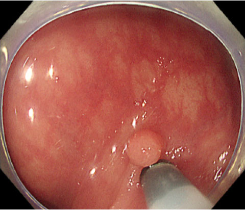
切除方法と特徴
コールドポリペクトミー
コールドポリペクトミーは、高周波電流を使わず、ワイヤー(スネア)でポリープを物理的に切除する方法で、主に小さなポリープに対して安全性を重視した切除法として用いられます。
- 高周波による熱損傷がないため、後出血や穿孔のリスクが非常に低い
- 大きさが10mmまでのポリープ切除に適しており、特に過形成性ポリープや低リスク腺腫に有効
- 中等度以上の大きさのポリープには不向きで、切除に時間がかかる場合もある



EMR(内視鏡的粘膜切除術)
EMRはポリープ周囲に生理食塩水などを注入し、病変を持ち上げた状態でスネアを用いて高周波電流で切除する方法です。
- 粘膜層内に病変を留めたまま安全に切除できる
- 切除と同時に止血効果も得られ、遺残リスクが低い
- 大きさが10mm~20mmまでのポリープに適している




高周波手術装置(VIO200S)
当院ではドイツ・エルベ社製のVIO200Sを導入し、切除時の電流波形を自動制御することで、出血や組織損傷を最小限に抑えた治療を行っています。
術後の過ごし方・注意点
- ポリープ切除後は最長で1週間の運動とアルコール摂取を控えていただきます。
- 出張・旅行は1週間お控えください(海外の場合は2週間)。
- 出血、腹痛、発熱などの異常があれば、すぐにご連絡ください。
- 再発予防や新たなポリープ発見のため、定期的な内視鏡検査をお勧めしています。
日帰り大腸ポリープ
切除の流れ
-

ご予約
WEBから大腸カメラまたは胃大腸同日をご予約ください。
-

事前診察
検査前に事前診察を行います(対面またはWEB診察が可能です)。当日の流れや注意事項についてもご説明いたします。
-

検査前日・当日
指定された下剤を服用し、腸内をきれいにしていただきます。前日は21時以降の食事を控えてください。
-

検査・切除当日
鎮静剤を使用し、眠った状態で内視鏡検査・ポリープ切除を行います(所要時間は約30分)。検査後は30分から1時間ほどお休みし、医師の診察後に問題がなければその日のうちにご帰宅いただけます。
-

病理検査結果のご報告
切除したポリープの病理検査結果は2週間後にご報告いたします。対面または郵送でのご説明が可能です
費用について
当院の大腸ポリープ切除には
保険が適用されます。
| 検査内容 | 自己負担額(3割負担の場合) |
|---|---|
| 大腸内視鏡検査 |
約20,000円〜 |
ご予約・お問い合わせはこちら
- 9:00-12:30/14:00-17:30(土日16:00まで)
- ※土日は完全予約制です
- 休診日:第1/3/5木曜・祝日
日帰り大腸ポリープ切除の
よくあるご質問
-
血がさらさらする薬(抗血栓薬)を飲んでいますが、ポリープ切除はできますか?はい、抗血栓薬(抗凝固薬・抗血小板薬)を服用中の方でも、休薬が可能な場合はポリープ切除が可能です。詳しくは事前診察の際にご説明いたします。
-
ポリープ切除で医療保険の手術給付金はもらえますか?多くの保険会社で「内視鏡的ポリープ切除術」「内視鏡的粘膜切除術(EMR)」は手術給付金の対象になります。ただし、契約内容によって異なるため、事前に保険会社にご確認ください。
-
保険は適用されますか?はい、内視鏡検査およびポリープ切除は健康保険の適用範囲内です。ご不明点は受付でご相談ください。
-
糖尿病や高血圧などの持病があっても検査・切除は可能ですか?持病があっても基本的には検査・切除は可能ですが、内服薬の調整など事前にご相談が必要です。安全管理のため事前診察時に詳しくお話を伺います。
-
検査前の下剤服用は院内ですか?自宅ですか?当院ではご自宅での下剤服用をお願いしています。詳しい服用方法は事前診察時にご案内します。
-
鎮静剤を使わずに検査することはできますか?はい、可能です。ただし、検査中の不快感が強い場合がありますので、鎮静剤使用をお勧めしています。
-
その日のうちにポリープを切除してもらえますか?はい、原則として検査当日にポリープを切除いたします。ただし、大きさや形状、リスクによっては当日の切除が難しい場合もあります。
-
10mmを超えるポリープでも日帰り切除は可能ですか?基本的には10mm以下が対象ですが、形が整でリスクが低いと判断される場合には15mm程度までの日帰り切除が可能です。
-
コールドポリペクトミーは受けられますか?はい。当院ではコールドポリペクトミーも行っています。適応は10mm以下のポリープとなります。
-
大きなポリープやがんが疑われる場合はどうなりますか?20mmを超えるポリープやがんが疑われる病変は、入院対応が可能な専門医療機関をご紹介いたします。
-
鎮静剤を使った後は運転できますか?当日は車・バイク・自転車の運転はできません。公共交通機関をご利用いただくか、ご家族の送迎をお願いしております。
-
検査当日は1日かかりますか?ご来院からご帰宅まで2から3時間程度を想定しています。検査時間は30分前後ですが、術後に安静時間が必要です。
-
ポリープがあった場合、必ず切除しないといけませんか?切除は患者様のご希望を尊重し、無理に行うことはありません。切除を希望しない場合は事前に医師・スタッフまでお伝えください。
-
ポリープががんかどうかはすぐにわかりますか?見た目でがんが疑われる場合でも、確定診断には病理検査が必要です。結果は2週間後にご報告します。
-
ポリープを切除した後に注意することは?EMRを行った場合は、切除後1週間は運動とアルコールを控えてください。コールドポリペクトミーの場合は、切除当日のみ運動とアルコールを控えていただきます。
-
切除後の食事制限はありますか?当日は消化の良いものを食べ、刺激物は控えてください。コールドポリペクトミーの場合は翌日から、EMRの場合は3日後より通常食に戻せます。
-
仕事復帰はいつから可能ですか?翌日から復帰可能です。EMRを行い、重労働の場合は2~3日お休みをお勧めしますが、詳しくは当日ご説明いたします。
-
ポリープ切除後に出血した場合はどうすればいいですか?切除後2から3日間は少量の出血が一時的に見られることがあります。持続する場合や大量出血の場合はすぐに当院へご連絡ください。
-
切除後の再発リスクはありますか?切除したポリープが再発することはほとんどありませんが、新たなポリープができる可能性はあります。定期的な内視鏡検査が重要です。
-
ポリープ切除後に旅行や出張は可能ですか?切除後1週間は出血リスクを考慮し、遠方への移動や出張・旅行はお控えください。特に海外への渡航は、術後2週間控えていただくことをお願いしています。
-
病理検査の結果はどうやって伝えてもらえますか?2週間後にご報告いたします。対面、郵送のいずれかをお選びいただけます。
-
家族が一緒に説明を聞くことはできますか?はい、ご家族様の同席も可能です。検査結果や今後の治療方針について一緒にご説明いたします。

